missing translation for 'onlineSavingsMsg'
Learn More

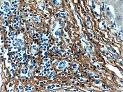
Fibromodulin Mouse anti-Human, Clone: 3E9D10, Proteintech

Mouse Monoclonal Antibody

1710.33 NOK - 4836.10 NOK

Specifications

Antigen Fibromodulin
Clone 3E9D10
Concentration 1 mg/mL
Applications Immunohistochemistry (Paraffin)
Classification Monoclonal
View More Specs

Products 2
Product Code Brand Quantity Price Quantity & Availability  
Product Code Brand Quantity Price Quantity & Availability  
16847075
View Documents
Proteintech
60108-1-IG-20UL
20 μL
1710.33 NOK
20µL
View alternative products
Save Up to 
»
Please to purchase this item. Need a web account? Register with us today!
16837075
View Documents
Proteintech
60108-1-IG-150UL
150 μL
4836.10 NOK
150µL
View alternative products
Save Up to 
»
Please to purchase this item. Need a web account? Register with us today!
Description

Description

Fibromodulin is a member of a family of small interstitial proteoglycans, containing a central region composed of leucine-rich repeats with 4 keratan sulfate chains flanked by disulfide-bonded terminal domains. It may participate in the assembly of the extracellular matrix as it interacts with type I and type II collagen fibrils and inhibits fibrillogenesis in vitro. It may also regulate TGF-beta activities by sequestering TGF-beta into the extracellular matrix.
Specifications

Specifications

Fibromodulin
1 mg/mL
Monoclonal
Liquid
RUO
PBS with 50% glycerol and 0.1% sodium azide; pH 7.3
fibromodulin, FM, FMOD, KSPG fibromodulin, SLRR2E
FMOD
IgG1
Caprylic Acid Precipitation
Antibody
3E9D10
Immunohistochemistry (Paraffin)
Unconjugated
Mouse
Human
Q06828
2331
Fibromodulin Fusion Protein Ag4030
Primary
-20°C
FMOD
Videos
SDS
Documents

Documents

Product Certifications
Product Content Correction

Your input is important to us. Please complete this form to provide feedback related to the content on this product.

Product Title

By clicking Submit, you acknowledge that you may be contacted by Fisher Scientific in regards to the feedback you have provided in this form. We will not share your information for any other purposes. All contact information provided shall also be maintained in accordance with our Privacy Policy.

Thank You! Your feedback has been submitted. Fisher Scientific is always working to improve our content for you. We appreciate your feedback.