missing translation for 'onlineSavingsMsg'
Learn More

ANT1/2 Rabbit anti-Human, Mouse, Rat, Polyclonal, Proteintech

Rabbit Polyclonal Antibody

Brand:  Proteintech 17796-1-AP-150UL

 View more versions of this product

Product Code. 16847774

  • 4836.10 NOK / 150µL

Please to purchase this item. Need a web account? Register with us today!

This item is not returnable. View return policy

Description

Description

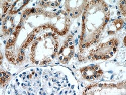
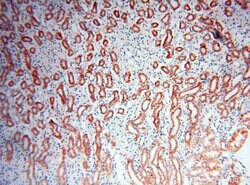
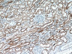
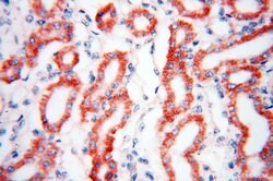
This antibody recognizes both of ANT1 and ANT2. The predicted molecular weight of ANT1/2 protein is around 32 kDa. While 60 kDa protein can also be observed, which has been proposed as the dimmer of ANT1/2.

Adenine nucleotide translocator (ANT) and the voltage-dependent anion-selective channel proteins 1 and 2 (VDAC1 and VDAC2) are components of the permeability transition pore complex (PTPC) of the mitochondrial inner and outer membranes, respectively. Formation of PTPCs, the subsequent dissipation of mitochondrial inner membrane potential and release of cytochrome c through the outer mitochondrial membrane are critical events in the early stages of apoptosis. Bax, a proapoptotic protein, has been shown to act upon ANT to induce the dissipation of mitochondrial inner membrane potential. ANT1 has a role in the maintece of mitochondrial DNA by catalyzing the exchange of ADP and ATP across the mitochondrial inner membrane.
Specifications

Specifications

ANT1/2
Polyclonal
Unconjugated
SLC25A4
2F1, AAC2, ADP,ATP carrier protein 2, ADP/ATP translocase 2, ANT 2, ANT1/2, SLC25A5, T2, T3
Rabbit
Antigen Affinity Chromatography
RUO
11739, 11740, 25176, 291, 292, 85333
-20°C
Liquid
Immunohistochemistry (Paraffin), Western Blot
0.45 mg/mL
PBS with 50% glycerol and 0.02% sodium azide; pH 7.3
P05141, P12235, P48962, P51881, Q05962, Q09073
SLC25A4, Slc25a5
ANT1/2 Fusion Protein Ag11956
150 μL
Primary
Human, Mouse, Rat
Antibody
IgG
Product Suggestions

Product Suggestions

Videos
SDS
Documents

Documents

Certificates
Promotions

Promotions

Product Content Correction

Your input is important to us. Please complete this form to provide feedback related to the content on this product.

Product Title

By clicking Submit, you acknowledge that you may be contacted by Fisher Scientific in regards to the feedback you have provided in this form. We will not share your information for any other purposes. All contact information provided shall also be maintained in accordance with our Privacy Policy.

Thank You! Your feedback has been submitted. Fisher Scientific is always working to improve our content for you. We appreciate your feedback.