missing translation for 'onlineSavingsMsg'
Learn More

Invitrogen™ TDO2 Monoclonal Antibody (C10), Invitrogen™

Mouse Monoclonal Antibody

Brand:  Invitrogen™ MA550996

 View more versions of this product

Product Code. 17999132

  • 2215.00 NOK / 20µL

Please to purchase this item. Need a web account? Register with us today!

This item is not returnable. View return policy

Description

Description

Tryptophan 2,3-dioxygenase (TDO2) is an enzyme encoded by the TDO2 gene, predominantly expressed in the liver and playing a crucial role in tryptophan metabolism through the kynurenine pathway. TDO2 catalyzes the first and rate-limiting step of this pathway, converting tryptophan into N-formylkynurenine. This metabolic process is vital for maintaining systemic tryptophan homeostasis and regulating its availability for protein synthesis and serotonin production. Beyond its metabolic function, TDO2 is involved in modulating immune responses. It contributes to immune tolerance by depleting tryptophan, thereby inhibiting T cell proliferation and promoting regulatory T cell development. Recent research has identified TDO2's role in cancer, particularly in shaping the tumor microenvironment and facilitating immune escape mechanisms through tryptophan catabolism. Its expression is upregulated in several cancers, including gliomas, correlating with tumor severity and patient prognosis. TDO2 and its associated pathways have become therapeutic targets in cancer immunotherapy due to their influence on immune system modulation and metabolism.
TRUSTED_SUSTAINABILITY
Specifications

Specifications

TDO2
Monoclonal
1 mg/mL
PBS with 50% glycerol and 0.05% Proclin 300; pH 7.4
P21643, P48775
TDO2
Recombinant Human TDO protein, Met1-Asp406 (Accession #P48775).
20 μL
Primary
Human, Rat
Antibody
IgG2b κ
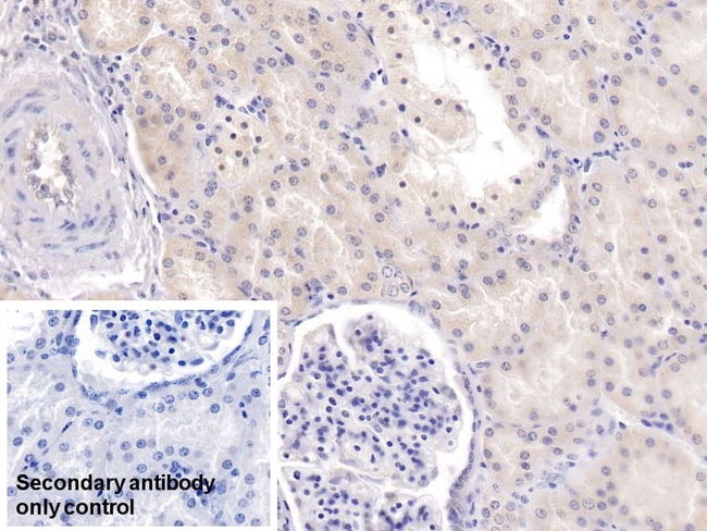
Immunohistochemistry (Paraffin), Western Blot
C10
Unconjugated
TDO2
AA407491; chky; HAMAP-Rule:MF_03020}; TDO; TDO {ECO:0000255; tdo variant1; tdo variant2; TDO2; TO; TO {ECO:0000255; TPH2; TRPO; TRPO {ECO:0000255; tryptamin 2,3-dioxygenase; tryptamin 2,3-dioxygenase {ECO:0000255; Tryptophan 2,3-dioxygenase; tryptophan 2,3-dioxygenase {ECO:0000255; tryptophan 2,3-dioxygenase A; tryptophan 2,3-dioxygenase A; tryptophan 2,3-dioxygenase; tryptophan oxygenase; tryptophan oxygenase {ECO:0000255; Tryptophan pyrrolase; tryptophan pyrrolase {ECO:0000255; tryptophan-2,3-dioxygenase; tryptophan-23-dioxygenase; tryptophanase; tryptophanase {ECO:0000255
Mouse
Protein A/G
RUO
64206, 6999
Store at 4°C short term. For long term storage, store at -20°C, avoiding freeze/thaw cycles.
Liquid
Product Suggestions

Product Suggestions

Videos
SDS
Documents

Documents

Certificates
Promotions

Promotions

Product Content Correction

Your input is important to us. Please complete this form to provide feedback related to the content on this product.

Product Title

By clicking Submit, you acknowledge that you may be contacted by Fisher Scientific in regards to the feedback you have provided in this form. We will not share your information for any other purposes. All contact information provided shall also be maintained in accordance with our Privacy Policy.

Thank You! Your feedback has been submitted. Fisher Scientific is always working to improve our content for you. We appreciate your feedback.