missing translation for 'onlineSavingsMsg'
Learn More
Learn More
Invitrogen™ Talin 2 Polyclonal Antibody

Description
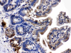
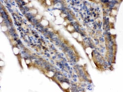
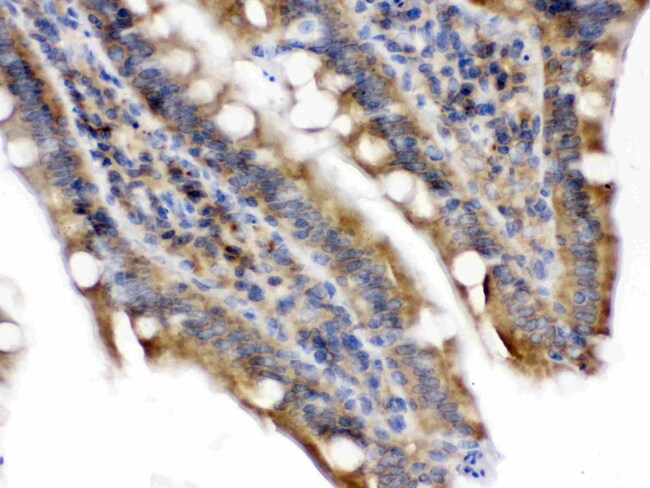
Reconstitute with 0.2 mL of distilled water to yield a concentration of 500 μg/mL. Positive Control - WB: rat brain tissue, mouse cardiac muscle tissue, SMMC7721 whole cell. IHC: mouse intestine tissue, rat intestine tissue, human intestinal cancer tissue.
This gene encodes a protein related to talin 1, a cytoskeletal protein that plays a significant role in the assembly of actin filaments and in spreading and migration of various cell types, including fibroblasts and osteoclasts. This protein has a different pattern of expression compared to talin 1 but, like talin 1, is thought to associate with unique transmembrane receptors to form novel linkages between extracellular matrices and the actin cytoskeleton.
Specifications
Specifications
| Antigen | Talin 2 |
| Applications | Immunohistochemistry (Paraffin), Western Blot |
| Classification | Polyclonal |
| Concentration | 500 μg/mL |
| Conjugate | Unconjugated |
| Formulation | PBS with 5mg BSA and 0.05mg sodium azide |
| Gene | Tln2 |
| Gene Accession No. | Q71LX4, Q9Y4G6 |
| Gene Alias | 5730421P04Rik; AI507121; AI787438; AL118320; ILWEQ; KIAA0320; mKIAA0320; RGD1565416; talin 2; talin-2; TLN2 |
| Gene Symbols | Tln2 |
| Show More |
Product Title
By clicking Submit, you acknowledge that you may be contacted by Fisher Scientific in regards to the feedback you have provided in this form. We will not share your information for any other purposes. All contact information provided shall also be maintained in accordance with our Privacy Policy.
Spot an opportunity for improvement?