missing translation for 'onlineSavingsMsg'
Learn More

RBAP48 Mouse anti-Human, Clone: 5C4D6, Proteintech

Mouse Monoclonal Antibody

Brand:  Proteintech 66060-1-IG-150UL

 View more versions of this product

Product Code. 16847595

  • 4836.10 NOK / 150µL

Please to purchase this item. Need a web account? Register with us today!

This item is not returnable. View return policy

Description

Description

The protein encoded by this gene has sequence similarity with members of the WD40 repeat-containing protein family. The WD40 group is a large family of proteins, which appear to have a regulatory function. It is believed that the WD40 repeats mediate protein-protein interactions and members of the family are involved in signal transduction, RNA processing, gene regulation, vesicular trafficking, cytoskeletal assembly and may play a role in the control of cytotypic differentiation.
Specifications

Specifications

RBAP48
Monoclonal
1.23 mg/mL
PBS with 50% glycerol and 0.02% sodium azide; pH 7.3
Q09028
RBBP4
RBAP48 Fusion Protein Ag6196
150 μL
Primary
Human
Antibody
IgG2b
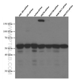
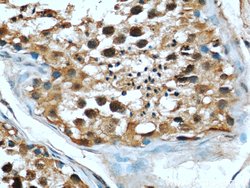
Flow Cytometry, Immunohistochemistry (Paraffin), Western Blot
5C4D6
Unconjugated
RBBP4
Histone binding protein RBBP4
Mouse
Protein A
RUO
5928
-20°C
Liquid
Product Suggestions

Product Suggestions

Videos
SDS
Documents

Documents

Certificates
Promotions

Promotions

Product Content Correction

Your input is important to us. Please complete this form to provide feedback related to the content on this product.

Product Title

By clicking Submit, you acknowledge that you may be contacted by Fisher Scientific in regards to the feedback you have provided in this form. We will not share your information for any other purposes. All contact information provided shall also be maintained in accordance with our Privacy Policy.

Thank You! Your feedback has been submitted. Fisher Scientific is always working to improve our content for you. We appreciate your feedback.