missing translation for 'onlineSavingsMsg'
Learn More
Learn More
Invitrogen™ PION Polyclonal Antibody

Rabbit Polyclonal Antibody
Brand: Invitrogen™ PA521092
This item is not returnable.
View return policy
Description
A suggested positive control is EL4 cell lysate. PA5-21092 can be used with blocking peptide PEP-1206.
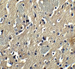
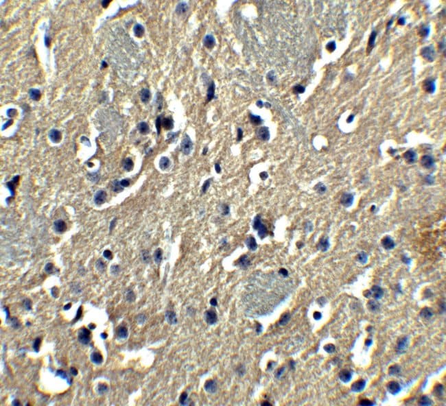
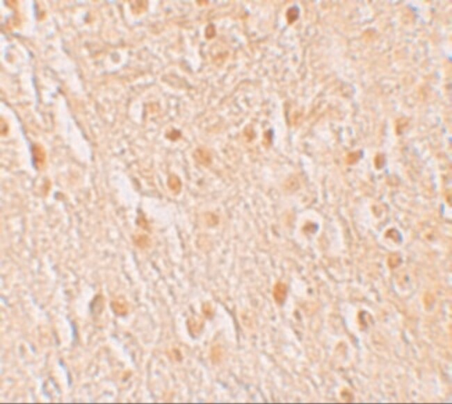
Accumulation of the amyloid-beta peptide (Abeta) in the cerebral cortex is a critical event in the pathogenesis of Alzheimer's disease. The beta-amyloid protein precursor (APP) is cleaved by one of two beta-secretases (BACE and BACE2), producing a soluble derivative of the protein and a membrane anchored 99 -amino acid carboxy-terminal fragment (C99). The C99 fragment serves as substrate for -gamma-secretase to generate the 4 kDa amyloid-beta peptide (Abeta), which is deposited in the Alzheimer's disease patients' brains. PION, or GSAP, selectively increases amyloid-beta production through a mechanism involving its interaction with both -gamma-secretase and the APP C-terminal fragment, suggesting that PION may be a potential therapeutic target for the treatment of Alzheimer's disease.
Specifications
| PION | |
| Polyclonal | |
| Unconjugated | |
| GSAP | |
| A530088I07Rik; gamma-secretase activating protein; gamma-secretase-activating protein; Gamma-secretase-activating protein 16 kDa C-terminal form; GSAP; GSAP-16K; pigeon homolog; Pion; Protein pigeon homolog; tcag7.1314 | |
| Rabbit | |
| Antigen Affinity Chromatography | |
| RUO | |
| 212167, 311984, 54103 | |
| Maintain refrigerated at 2-8°C for up to 3 months. For long term storage store at -20°C | |
| Liquid |
| Immunohistochemistry, Western Blot, Immunocytochemistry | |
| 1 mg/mL | |
| PBS with 0.02% sodium azide | |
| A4D1B5, Q3TCV3 | |
| GSAP | |
| A 19 amino acid peptide near the carboxy terminus of human PION. | |
| 100 μg | |
| Primary | |
| Human, Mouse, Rat | |
| Antibody | |
| IgG |
Product Content Correction
Your input is important to us. Please complete this form to provide feedback related to the content on this product.
Product Title
Spot an opportunity for improvement?Share a Content Correction