missing translation for 'onlineSavingsMsg'
Learn More

Invitrogen™ PGP9.5 Polyclonal Antibody

Goat Polyclonal Antibody

Brand:  Invitrogen™ PA519350

Product Code. 11307333

  • 4240.00 NOK / 100µg

Please to purchase this item. Need a web account? Register with us today!

This item is not returnable. View return policy

Description

Description

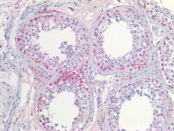
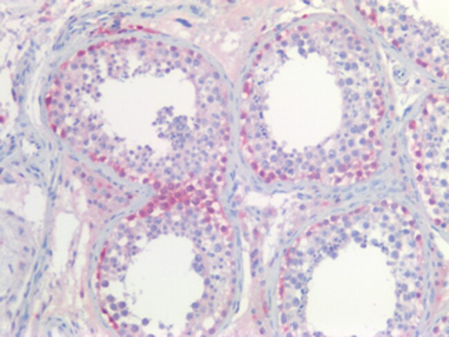
This antibody is predicted to react with bovine, canine and porcine based on sequence homology. This antibody has been successfully tested in a Sandwhich ELISA as both a capture and a detection antibody in combination with PA5-19349.

PGP9.5 (Protein gene product 9.5, UCH-L1, PARK5) is a neuron specific protein, structurally and immunologically distinct from neuron specific enolase. PGP9.5 has a molecular weight of 27 kDa and was first identified by high resolution two dimensional PAGE. PGP9.5 is a member of ubiquitin carboxyl-terminal hydrolase family 1 (peptidase family C12) with a ubiquitin carboxyl-terminal hydrolase domain. PGP9.5 is well known for having ubiquitin hydrolase and ligase activities that hydrolyzes small C-terminal adducts of ubiquitin to generate ubiquitin monomers. PGP9.5 is present in neurons and nerve fibers at all levels of the central and peripheral nervous system, in neuroendocrine cells, in segments of the renal tubules, in spermatogonia and Leydig cells of the testis, in ova and in some cells of both the pregnant and non-pregnant corpus luteum. Over expression of PGP9.5 leads to non-small cell lung cancer while decreased expression leads to Huntington disease and Alzheimer disease. Since PGP9.5 is present in cellular inclusions, it can be a useful as a neuronal marker and in the studies of neurodegenerative disorders such as with Parkinson disease.
TRUSTED_SUSTAINABILITY
Specifications

Specifications

PGP9.5
Polyclonal
Unconjugated
Uchl1
AW822034; C88048; epididymis luminal protein 117; epididymis secretory protein Li 53; gad; gracile axonal dystrophy; HEL-117; HEL-S-53; MGC133697 protein; NDGOA; neuron cytoplasmic protein 9.5; OTTHUMP00000218137; OTTHUMP00000218139; OTTHUMP00000218140; OTTHUMP00000218141; PARK5; PGP 9.5; PGP9.5; PGP95; protein gene product 9.5; R75593; ubiquitin carboxyl-terminal esterase; ubiquitin carboxyl-terminal esterase L1 (ubiquitin thiolesterase); ubiquitin carboxyl-terminal hydrolase isozyme L1; ubiquitin carboxyl-terminal hydrolase L1; ubiquitin carboxy-terminal hydrolase L1; ubiquitin C-terminal hydrolase; ubiquitin C-terminal hydrolase 1; ubiquitin C-terminal hydrolase L1; ubiquitin thioesterase L1; ubiquitin thiolesterase; ubiquitin thiolesterase L1; UCHL; UCHL1; UCH-L1; UCHL-1
Goat
Ammonium sulfate precipitation
RUO
22223, 29545, 7345
-20°C, Avoid Freeze/Thaw Cycles
Liquid
Immunohistochemistry (Paraffin), Western Blot, Western Blot
0.5 mg/mL
TBS with 0.5% BSA and 0.02% sodium azide; pH 7.3
P09936, Q00981, Q9R0P9
Uchl1
Synthetic peptide sequence (EVRFSAVALCK) corresponding to the C-terminus amino acids of UCHL1 (aa 211-221).
100 μg
Primary
Human, Mouse, Rat
Antibody
IgG
Product Suggestions

Product Suggestions

Videos
SDS
Documents

Documents

Certificates
Promotions

Promotions

Product Content Correction

Your input is important to us. Please complete this form to provide feedback related to the content on this product.

Product Title

By clicking Submit, you acknowledge that you may be contacted by Fisher Scientific in regards to the feedback you have provided in this form. We will not share your information for any other purposes. All contact information provided shall also be maintained in accordance with our Privacy Policy.

Thank You! Your feedback has been submitted. Fisher Scientific is always working to improve our content for you. We appreciate your feedback.