missing translation for 'onlineSavingsMsg'
Learn More

Invitrogen™ LRG1 Recombinant Rabbit Monoclonal Antibody (JB34-31)
GREENER_CHOICE

Rabbit Recombinant Monoclonal Antibody

Brand:  Invitrogen™ MA534656

Product Code. 17185323

  • 4445.00 NOK / 100µL

Please to purchase this item. Need a web account? Register with us today!

This item is not returnable. View return policy

Description

Description

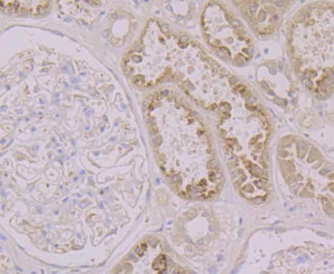
Positive Control: Human serum, human kidney tissue.

The leucine-rich repeat (LRR) family of proteins, including LRG1, have been shown to be involved in protein-protein interaction, signal transduction, and cell adhesion and development. LRG1 is expressed during granulocyte differentiation.
TRUSTED_SUSTAINABILITY
Specifications

Specifications

LRG1
Recombinant Monoclonal
1 mg/mL
TBS with 0.05% BSA, 40% glycerol and 0.05% sodium azide; pH 7.4
P02750
LRG1
Synthetic peptide within Human LRG1 aa 261-310.
100 μL
Primary
Human
Antibody
IgG
Immunohistochemistry (Paraffin), Immunoprecipitation, Western Blot
JB34-31
Unconjugated
LRG1
1300008B03Rik; 2310031E04Rik; A2GL; HMFT1766; leucine rich alpha 2 glycoprotein; leucine rich alpha-2-glycoprotein 1; leucine-rich alpha-2-glycoprotein; leucine-rich alpha-2-glycoprotein 1; Leucine-rich alpha-2-glycoprotein precursor; LRG; LRG 1; LRG1; LRG-1; Lrhg
Rabbit
Protein A
RUO
116844
-20°C, Avoid Freeze/Thaw Cycles, store in dark
Liquid
Product Suggestions

Product Suggestions

Videos
SDS
Documents

Documents

Certificates
Promotions

Promotions

Product Content Correction

Your input is important to us. Please complete this form to provide feedback related to the content on this product.

Product Title

By clicking Submit, you acknowledge that you may be contacted by Fisher Scientific in regards to the feedback you have provided in this form. We will not share your information for any other purposes. All contact information provided shall also be maintained in accordance with our Privacy Policy.

Thank You! Your feedback has been submitted. Fisher Scientific is always working to improve our content for you. We appreciate your feedback.