Learn More
Invitrogen™ Ferritin Heavy Chain Polyclonal Antibody

Rabbit Polyclonal Antibody
Brand: Invitrogen™ PA527500
Description
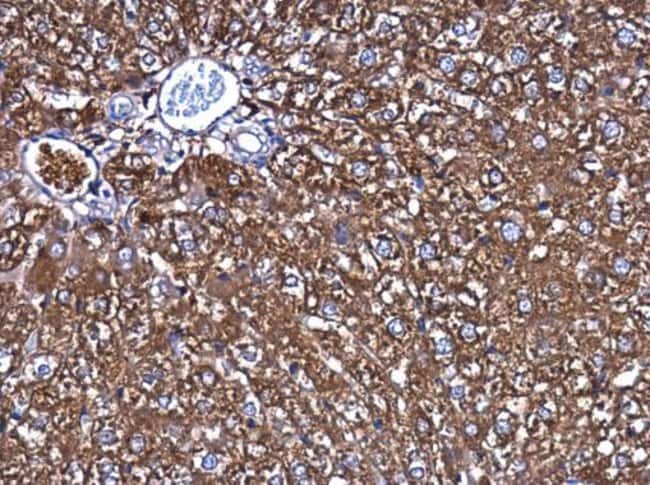
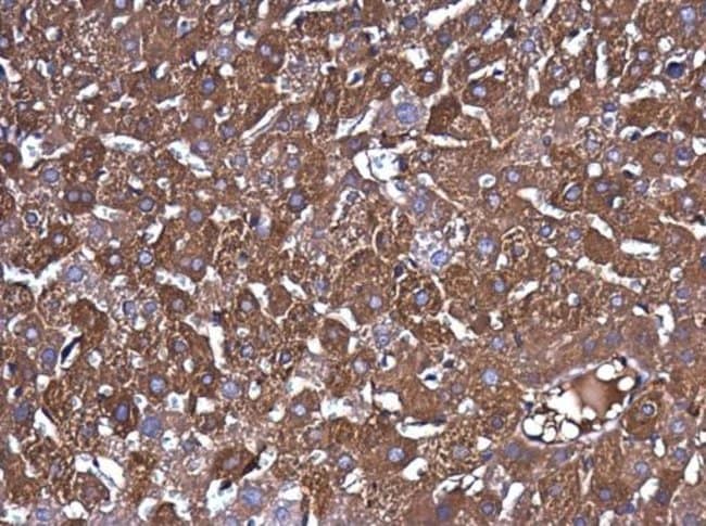
Recommended positive controls: human liver, mouse liver, rat liver, HCT116. Predicted reactivity: Mouse (94%), Rat (96%), Dog (96%), Cat (96%), Pig (87%), Chicken (93%), Sheep (93%), Rhesus Monkey (99%), Bovine (92%), Guinea pig (96%). Store product as a concentrated solution. Centrifuge briefly prior to opening the vial.
FTH1 is the heavy subunit of ferritin, the major intracellular iron storage protein in prokaryotes and eukaryotes. It is composed of 24 subunits of the heavy and light ferritin chains. Variation in ferritin subunit composition may affect the rates of iron uptake and release in different tissues. A major function of ferritin is the storage of iron in a soluble and nontoxic state. Defects in ferritin proteins are associated with several neurodegenerative diseases. This gene has multiple pseudogenes. Several alternatively spliced transcript variants have been observed, but their biological validity has not been determined.
Specifications
| Ferritin Heavy Chain | |
| Polyclonal | |
| Unconjugated | |
| FTH1 | |
| apoferritin; cell proliferation-inducing gene 15 protein; Ferritin H subunit; ferritin heavy chain; ferritin heavy chain 1; Ferritin heavy chain, N-terminally processed; Ferritin subunit H; ferritin, heavy polypeptide 1; FHC; frih; FTH; Fth1; FTHL6; HFE5; H-ferritin; HFt; MFH; MGC104426; OK/SW-cl.84; PIG15; placenta immunoregulatory factor; PLIF; proliferation-inducing protein 15 | |
| Rabbit | |
| Antigen affinity chromatography | |
| RUO | |
| 14319, 2495, 25319 | |
| Store at 4°C short term. For long term storage, store at -20°C, avoiding freeze/thaw cycles. | |
| Liquid |
| Immunohistochemistry (Paraffin), Western Blot, Immunocytochemistry | |
| 1.2 mg/mL | |
| PBS with 20% glycerol and 0.025% ProClin 300; pH 7 | |
| P02794, P09528, P19132 | |
| FTH1 | |
| Recombinant protein encompassing a sequence within the center region of human Ferritin Heavy Chain. The exact sequence is proprietary. | |
| 100 μL | |
| Primary | |
| Human, Mouse, Rat | |
| Antibody | |
| IgG |
Your input is important to us. Please complete this form to provide feedback related to the content on this product.