missing translation for 'onlineSavingsMsg'
Learn More

cIAP1 Rabbit anti-Human, Mouse, Polyclonal, Proteintech

Rabbit Polyclonal Antibody

Brand:  Proteintech 10022-1-AP-20UL

 View more versions of this product

Product Code. 16846173

  • 1710.33 NOK / 20µL

Please to purchase this item. Need a web account? Register with us today!

This item is not returnable. View return policy

Description

Description

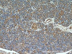
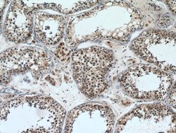
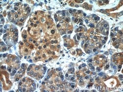
This BIRC2 antibody (10022-1-AP) can bind both full length (70 kDa) and cleaved form (60 kDa) of the protein.

The protein encoded by this gene is a member of a family of proteins that inhibits apoptosis by binding to tumor necrosis factor receptor-associated factors TRAF1 and TRAF2, probably by interfering with activation of ICE-like proteases. This encoded protein inhibits apoptosis induced by serum deprivation and menadione, a potent inducer of free radicals.
Specifications

Specifications

cIAP1
Polyclonal
Unconjugated
BIRC2
API1, BIRC2, C IAP1, cIAP1, Hiap 2, HIAP2, IAP 2, IAP homolog B, IAP2, MIHB, RING finger protein 48, RNF48
Rabbit
Antigen Affinity Chromatography
RUO
11797, 329
-20°C
Liquid
Immunohistochemistry (Paraffin), Western Blot, Immunocytochemistry, Immunofluorescence
0.22 mg/mL
PBS with 50% glycerol and 0.1% sodium azide; pH 7.3
Q13490, Q62210
BIRC2
cIAP1 Fusion Protein Ag15203
20 μL
Primary
Mouse, Human
Antibody
IgG
Product Suggestions

Product Suggestions

Videos
SDS
Documents

Documents

Certificates
Promotions

Promotions

Product Content Correction

Your input is important to us. Please complete this form to provide feedback related to the content on this product.

Product Title

By clicking Submit, you acknowledge that you may be contacted by Fisher Scientific in regards to the feedback you have provided in this form. We will not share your information for any other purposes. All contact information provided shall also be maintained in accordance with our Privacy Policy.

Thank You! Your feedback has been submitted. Fisher Scientific is always working to improve our content for you. We appreciate your feedback.